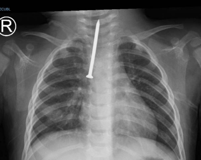
نجحت مدينة الملك سعود الطبية، عضو تجمع الرياض الصحي الأول، في إنقاذ حياة طفل رضيع يبلغ 8 أشهر، بعد إجراء عملية معقدة لاستخراج جسم غريب من مجرى التنفس.
وفي التفاصيل، أجرى الفريق الطبي عملية تنظير صلب للقصبة الهوائية، نجح خلالها في استخراج مسمار بطول 5 سنتيمترات، كان الطفل قد استنشقه بشكل غير متوقع، مما تسبب في دخوله في مجرى الهواء الرئيسي وتسبب في حالة صحية حرجة.
وأوضح رئيس قسم جراحة الصدر ورئيس الفريق الجراحي، الدكتور محمد العمصي، أن الطفل كان يعاني من صعوبة حادة في التنفس، ما استدعى التدخل العاجل لإنقاذ حياته وتفادي مضاعفات خطيرة نتيجة وجود جسم غريب بهذا الحجم في القصبة الهوائية.
وأضاف أنه جرى نقل الطفل بشكل عاجل إلى غرفة العمليات، وإجراء المنظار اللازم للقصبة الهوائية ومجرى التنفس، ومن خلاله تم استخراج المسمار بنجاح.
ونوّه الدكتور العمصي إلى أن مثل هذه العمليات تتطلب احترافية كبيرة في التعامل مع المرضى، خاصة الأطفال الرضع، كما تحتاج إلى تجهيزات دقيقة ومتقدمة، وهو ما يتوافر في قسم عمليات الأطفال بالمدينة.
ويعكس هذا الإنجاز الإمكانيات الطبية المتقدمة التي تمتلكها مدينة الملك سعود الطبية في إجراء العمليات النوعية للأطفال، حيث تواصل جهودها في تقديم خدمات صحية متقدمة تسهم في إنقاذ الأرواح، بدعم مستمر من حكومة المملكة العربية السعودية وقيادتها.




